Hà Nội
Thứ 3, 20/01/2026
Nhiều mây
24°C

Môi trường - Sức khỏe

TP Hà Nội yêu cầu UBND cấp xã tổ chức tuyên truyền, phổ biến, giáo dục pháp luật về trật tự xây dựng, an toàn lao động và vệ sinh môi trường trên địa bàn. Phối hợp ngăn chặn, xử lý tình trạng tập kết vật liệu, phế thải trái phép, lấn chiếm lòng đường, hè phố, gây cản trở giao thông, mất mỹ quan đô thị.
10/11/2025
UBND TP Hà Nội đặt mục tiêu siết chặt quản lý an toàn hóa chất trong toàn bộ vòng đời, từng bước chấm dứt các cơ sở hóa chất ngoài khu, cụm công nghiệp, phát triển ngành công nghiệp hóa chất theo hướng hiện đại, an toàn và kinh tế tuần hoàn.
Ngày 11/12/2025, Trường Mầm Non Phú Minh vinh dự đón Đoàn Giám sát Trung tâm Kiểm soát bệnh tật thành phố Hà Nội (CDC Hà Nội) về làm việc, kiểm tra và hỗ trợ chuyên môn đối với công tác y tế trường học và phòng chống tai nạn thương tích. Đây là hoạt động có ý nghĩa quan trọng, nhằm đánh giá thực trạng, hướng dẫn chuyên sâu và góp phần nâng cao chất lượng chăm sóc, bảo vệ sức khỏe trẻ trong nhà trường.
Những ngày này, trên tuyến đê thôn Thủy Thủy, xã Đa Phúc (Hà Nội), không khí thi công diễn ra khẩn trương. Máy móc san gạt, đất được tập kết dọc thân đê, từng đoạn mặt đường được mở rộng, chỉnh trang. Tuyến đê sau nhiều năm chịu tác động của mưa lũ và lưu lượng phương tiện gia tăng nay đang từng bước được cải tạo, đáp ứng yêu cầu bảo đảm an toàn phòng, chống thiên tai gắn với nhu cầu cuộc sống dân sinh.
Phó Chủ tịch UBND Thành phố Hà Nội, Bà Vũ Thu Hà vừa ký ban hành Kế hoạch số 340/KH-UBND ngày 15/12/2025 về thực hiện Chỉ thị số 25/CT-TTg ngày 15 tháng 9 năm 2025 của Thủ tướng Chính phủ về đẩy mạnh phát triển nền y học cổ truyền Việt Nam trong giai đoạn mới.
Bệnh viện Đa khoa Hùng Vương chính thức đón nhận chứng chỉ công nhận ISO 15189:2022, khẳng định năng lực quản lý chất lượng và năng lực kỹ thuật đạt chuẩn quốc tế trong lĩnh vực xét nghiệm y khoa.
Ngày 30/11/2025, tại Thái Nguyên, Trung tâm Truyền thông - Giáo dục sức khỏe Trung ương thuộc Bộ Y tế (T5G) đã phối hợp với Bệnh viện Trung ương Thái Nguyên, Hội Liên hiệp Phụ nữ tỉnh Thái Nguyên và Hiệp hội Bia - Rượu - Nước giải khát Việt Nam (VBA) tổ chức “Hội thảo truyền thông cung cấp kiến thức chăm sóc sức khỏe chủ động cho phụ nữ tại tỉnh Thái Nguyên”.
Tháng 7 năm 1891 với thân hình mảnh khảnh đi trên con tàu chở khách của Pháp, người thanh niên ấy bước lên bờ biển Nha Trang bâng khuâng ngắm cảnh đẹp. Chỉ hoang sơ vài xóm chài lưa thưa mái tranh, nhưng cảnh đẹp của núi rừng, màu xanh của biển và thiên nhiên trù phú, ban mai trong lành êm ả…tất cả đã lôi cuốn níu chân ở lại.
27/02/2016
Sau 1 ngày được gia đình đưa đến Trạm y tế phường Mạo Khê tiêm vắc xin Quivaxem, cháu Nguyễn Thanh Tùng (SN 2015, trú tại tổ 5, khu Đoàn Kết, phường Mạo Khê, thị xã Đông Triều, Quảng Ninh) đột ngột tử vong tại nhà.
27/02/2016
Tổ chức Y tế Thế giới (WHO) ngày 25/2 cho biết những phụ nữ nhiễm virus Zika vẫn nên tiếp tục cho con bú do chưa có bằng chứng nào về nguy cơ truyền nhiễm bệnh từ việc nuôi con bằng sữa mẹ.
26/02/2016
Ngày 26/2, Ngoại trưởng Nhật Bản Fumio Kishida cho biết nước này cam kết viện trợ 1 triệu USD hỗ trợ cuộc chiến chống virus Zika ở khu vực Mỹ Latinh, một ngày sau khi Nhật Bản xác nhận một ca nhiễm virus Zika gần thủ đô Tokyo.
26/02/2016
Bộ Y tế cho biết để phục vụ nhu cầu tiêm chủng ​vắcxin dịch vụ của người dân, đồng thời giảm bớt tình trạng căng thẳng vắcxin dịch vụ, vào tháng 3 tới sẽ có thêm 30.000 liều vắcxin dịch vụ “5 trong 1” Pentaxim được nhập về Việt Nam và chuyển cho các tỉnh, thành khu vực phía Bắc.
26/02/2016
Về việc điều chỉnh giá dịch vụ y tế từ ngày 1/3, ông Nguyễn Nam Liên, Vụ trưởng Vụ Kế hoạch-Tài chính (Bộ Y tế) khẳng định người không có thẻ bảo hiểm y tế chưa bị ảnh hưởng.
26/02/2016
Sáng nay, Ủy viên Trung ương Đảng, Thứ trưởng Bộ Thông tin và Truyền thông Trương Minh Tuấn đã chúc mừng Bộ Y tế nhân ngày Thầy thuốc Việt Nam (27/2).
26/02/2016
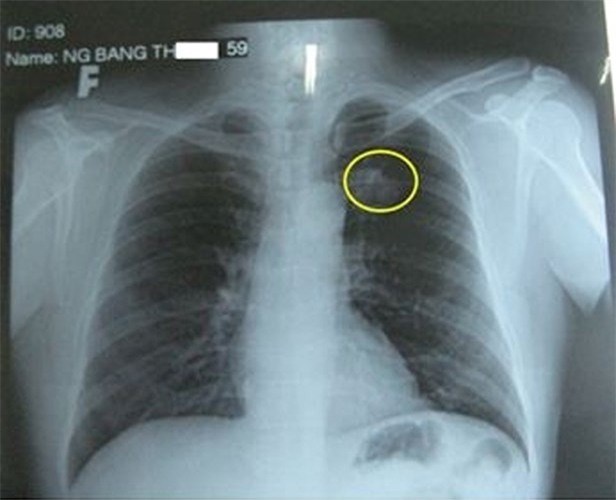
Phát hiện u trong phổi, muốn biết u lành hay u ác thì phải kiểm tra như thế nào?
26/02/2016
Có nhiều nguyên nhân gây đau đầu và nhiều kiểu đau đầu. Với mỗi kiểu đau đầu có những cách xử trí khác nhau. Dưới đây là 4 kiểu đau đầu thường gặp và cách khắc phục:
26/02/2016
Ngày 25/2, Bộ Y tế, Lao động và Phúc lợi Nhật Bản đã xác nhận trường hợp nhiễm virus Zika đầu tiên tại nước này kể từ sau khi loại virus do muỗi truyền này lan rộng tại các nước Mỹ Latinh từ năm 2015.
26/02/2016
Tại Hải Dương ghi nhận trường hợp đầu tiên mắc viêm não mô cầu đã tử vong và ngành y tế đã tiến hành cách ly 50 học sinh cùng lớp với em học sinh này.
26/02/2016
Nhân kỷ niệm 55 năm thảm họa da cam tại Việt Nam (1961-2016), Hội Nạn nhân chất độc da cam/dioxin Việt Nam phối hợp cùng Cổng thông tin nhân đạo quốc gia phát động chương trình “55 ngày nhắn tin vì nạn nhân chất độc da cam” vào sáng ngày 25/2 tại Hà Nội.
25/02/2016
Ngày 24/2, Ban Tổ chức Olympic Río de Janeiro 2016 đã thông báo danh sách 329 thành phố ở Brazil mà ngọn đuốc của Thế vận hội sẽ được rước qua từ ngày 3/5 đến ngày 4/8 tới.
25/02/2016
Kiểm soát ung thư chứ không phải tiêu diệt nó, đó là cách tốt nhất để chống căn bệnh này, theo các nhà khoa học.
25/02/2016
Lọt vào tầm của Nobel Y học danh giá không phải dễ, nhưng có 2 loại cây đã lên ngôi. Nó là nguồn cội của sáng tạo y học, đồng thời cũng là nguồn cội của cứu thế nhân gian...
25/02/2016
Theo một nghiên cứu mới được Ngân hàng Thế giới (WB) công bố ngày 22/2, virus Zika, hiện đã gây dịch bệnh tại hơn 30 quốc gia Mỹ Latinh và Caribe, có thể gây ra thiệt hại kinh tế lên tới 4 tỷ USD cho khu vực này.
25/02/2016
Một căn bệnh chưa xác định được đã bùng phát tại quận Saburi ở thủ đô Abuja của Nigeria, làm ít nhất 13 người thiệt mạng trong vòng một tuần.
25/02/2016
Sở Y tế Thành phố Hồ Chí Minh cho biết, từ tháng ​Ba, Thành phố Hồ Chí Minh sẽ triển khai chiến dịch tiêm vắcxin sởi-rubella cho 124.000 đối tượng từ 16-17 tuổi tại 24 quận, huyện trên địa bàn.
25/02/2016
Trước sự gia tăng số trường hợp mắc bệnh sốt xuất huyết ở Tây Nguyên, ngày 24/2, đại diện Cục Y tế dự phòng (Bộ Y tế) cho biết hiện nay bệnh do virus Zika (lây truyền chủ yếu qua muỗi Aedes - loại muỗi truyền bệnh sốt xuất huyết) đang có nguy cơ xâm nhập vào Việt Nam nên người dân không nên chủ quan với căn bệnh này.
25/02/2016
Theo các bác sĩ, cứ sau Tết, số người có nhu cầu phá thai lại tăng lên, bởi dịp Tết là lúc nhiều người không kiểm soát được chuyện chăn gối của mình.
25/02/2016
Tỏi được coi là loại thảo dược lành mạnh nhất thế giới, rất hữu ích trong điều trị ung thư bao gồm cả ung thư vú.
24/02/2016
Ngày 23/2, giới chức y tế Pháp công bố kết quả báo cáo sơ bộ cho thấy khoảng 450 trẻ em ở nước này mắc các dị tật bẩm sinh do ảnh hưởng của Valproate, một loại thuốc rất phổ biến hỗ trợ điều trị động kinh và co giật.
24/02/2016
Sáng 24/2, Bệnh viện Chợ Rẫy đã thông tin về ca bệnh cháu bé 13 tuổi đột ngột chảy máu mũi không ngừng, nôn ói ra máu. Các bác sĩ đã phát hiện ra dị dạng hiếm gặp của cháu bé.
24/02/2016
Hiện nay, độ tuổi mắc đau lưng ngày càng trẻ hóa, đây là thực trạng đáng báo động ở hầu hết các quốc gia trên thế giới.
24/02/2016
Năm 2016, thành phố Hà Nội tiếp tục duy trì và nâng cao chất lượng, hiệu quả thực hiện thí điểm đề án điều trị thay thế bằng Methadone, trong đó điều trị ổn định cho 3.675 người nghiện ma túy tại 17 cơ sở, phấn đấu đến cuối năm 2016 thành phố có 8.500 lượt người được điều trị thay thế bằng Methadone.
24/02/2016
Theo TS Võ Xuân Sơn, điều trị loãng xương cần rất nhiều thời gian chứ không phải chỉ 1 vài tuần như các hãng sữa đang quảng cáo hiện nay. Đặc biệt người dân cần quan tâm nhiều hơn tới bệnh loãng xương.
24/02/2016
Nhiều người Việt coi chân gà, phao câu gà, nội tạng gà là đặc sản "khoái khẩu" trong khi người Tây tránh xa để bảo vệ sức khỏe.
23/02/2016
Cắn móng tay là một thói quen xấu và gây hại trực tiếp đến sức khỏe. Việc này có thể dẫn đến làm việc kém hiệu quả và suy giảm chất lượng cuộc sống. Không những thế theo thống kê trên thế giới còn có rất nhiều trường hợp bị nhiễm trùng do cắn móng tay.
23/02/2016
Nhận được thông tin phản ảnh từ người dân sống tại xã Tân Tiến – huyện Văn Giang – Hưng Yên về vụ việc một người đàn ông chết đột ngột sau khi tới mua thuốc và chữa bệnh tại cơ sở khám chữa bệnh tại nhà, PV hoanhap.vn đã có buổi làm việc tại địa phương để làm rõ thực hư thông tin này.
23/02/2016
Theo các bác sĩ chuyên khoa nội tiết, cứ đến dịp sau mấy ngày nghỉ Tết, bệnh nhân đến khám tiểu đường lại tăng lên do thói quen ăn uống và sinh hoạt vào dịp Tết có nhiều xáo trộn.
23/02/2016
1 ... 62 63 64 65 66 67 68 ...
E - MAGAGINE
Về đầu trang
Thông báo...