Hà Nội
Thứ 3, 20/01/2026
Nhiều mây
24°C

Môi trường - Sức khỏe

TP Hà Nội yêu cầu UBND cấp xã tổ chức tuyên truyền, phổ biến, giáo dục pháp luật về trật tự xây dựng, an toàn lao động và vệ sinh môi trường trên địa bàn. Phối hợp ngăn chặn, xử lý tình trạng tập kết vật liệu, phế thải trái phép, lấn chiếm lòng đường, hè phố, gây cản trở giao thông, mất mỹ quan đô thị.
10/11/2025
UBND TP Hà Nội đặt mục tiêu siết chặt quản lý an toàn hóa chất trong toàn bộ vòng đời, từng bước chấm dứt các cơ sở hóa chất ngoài khu, cụm công nghiệp, phát triển ngành công nghiệp hóa chất theo hướng hiện đại, an toàn và kinh tế tuần hoàn.
Ngày 11/12/2025, Trường Mầm Non Phú Minh vinh dự đón Đoàn Giám sát Trung tâm Kiểm soát bệnh tật thành phố Hà Nội (CDC Hà Nội) về làm việc, kiểm tra và hỗ trợ chuyên môn đối với công tác y tế trường học và phòng chống tai nạn thương tích. Đây là hoạt động có ý nghĩa quan trọng, nhằm đánh giá thực trạng, hướng dẫn chuyên sâu và góp phần nâng cao chất lượng chăm sóc, bảo vệ sức khỏe trẻ trong nhà trường.
Những ngày này, trên tuyến đê thôn Thủy Thủy, xã Đa Phúc (Hà Nội), không khí thi công diễn ra khẩn trương. Máy móc san gạt, đất được tập kết dọc thân đê, từng đoạn mặt đường được mở rộng, chỉnh trang. Tuyến đê sau nhiều năm chịu tác động của mưa lũ và lưu lượng phương tiện gia tăng nay đang từng bước được cải tạo, đáp ứng yêu cầu bảo đảm an toàn phòng, chống thiên tai gắn với nhu cầu cuộc sống dân sinh.
Phó Chủ tịch UBND Thành phố Hà Nội, Bà Vũ Thu Hà vừa ký ban hành Kế hoạch số 340/KH-UBND ngày 15/12/2025 về thực hiện Chỉ thị số 25/CT-TTg ngày 15 tháng 9 năm 2025 của Thủ tướng Chính phủ về đẩy mạnh phát triển nền y học cổ truyền Việt Nam trong giai đoạn mới.
Bệnh viện Đa khoa Hùng Vương chính thức đón nhận chứng chỉ công nhận ISO 15189:2022, khẳng định năng lực quản lý chất lượng và năng lực kỹ thuật đạt chuẩn quốc tế trong lĩnh vực xét nghiệm y khoa.
Ngày 30/11/2025, tại Thái Nguyên, Trung tâm Truyền thông - Giáo dục sức khỏe Trung ương thuộc Bộ Y tế (T5G) đã phối hợp với Bệnh viện Trung ương Thái Nguyên, Hội Liên hiệp Phụ nữ tỉnh Thái Nguyên và Hiệp hội Bia - Rượu - Nước giải khát Việt Nam (VBA) tổ chức “Hội thảo truyền thông cung cấp kiến thức chăm sóc sức khỏe chủ động cho phụ nữ tại tỉnh Thái Nguyên”.
Các chuyên gia nhi khoa và bệnh truyền nhiễm đều cho hay, chính thói quen hôn hít trẻ nhỏ của người lớn đã và đang tiềm ẩn nhiều nguy cơ cho sức khỏe của trẻ nhỏ...
11/04/2018
Ngộ độc thuốc ở trẻ thường là do dùng quá liều thuốc gây hại, hoặc dùng đúng thuốc đúng liều lượng nhưng thuốc đó không thích hợp đối với trẻ và trẻ bị phản ứng có hại của thuốc.
10/04/2018
Thỉnh thoảng tôi bị máy mắt, có khi mấy ngày liền. Thường là tự hết. Xin hỏi máy mắt có phải là triệu chứng của bệnh? Tuy không đau nhưng đôi khi nó làm tôi khó tập trung làm việc, cũng có lúc mất tự tin như khi tiếp khách. Có cách nào ngăn ngừa được hiện tượng này không?
10/04/2018
Trong các loại thực phẩm mà các bà nội trợ mua hằng ngày như: cá, nấm, măng, ớt, củ cải... Hãy thận trọng khi chế biến và sử dụng các loại thực phẩm này vì chúng có thể có độc tố.
10/04/2018
Tôi đi khám sức khỏe, chụp Xquang đốt sống cổ kết luận có gai xương đốt sống cổ. Tuy nhiên tôi cũng thường xuyên bị đau cứng khớp bàn tay nữa. Xin hỏi bác sĩ tôi bị thoái hóa khớp hay viêm khớp dạng thấp?
09/04/2018
Thịt quả bầu vị ngọt, tính hàn, có tác dụng giải nhiệt, trừ độc, được dùng trị chứng đái rắt, phù nề, đái tháo, mụn lở...
09/04/2018
Ra mồ hôi là phản ứng bài tiết bình thường của cơ thể. Tuy nhiên, nếu ra quá nhiều có thể ảnh hưởng đến sinh hoạt hằng ngày.
09/04/2018
Có nhiều điểm chung về triệu chứng nên nhiều người bay bị nhầm lẫn cảm lạnh và viêm mũi dị ứng. Thế nhưng hai bệnh này lại khác về bản chất và do đó, phương pháp điều trị cũng khác nhau.
08/04/2018
Thời tiết chuyển giao xuân - hè nắng mưa thất thường, nhiệt độ và độ ẩm thường xuyên thay đổi đang là yếu tố thuận lợi cho các loại vi khuẩn..
08/04/2018
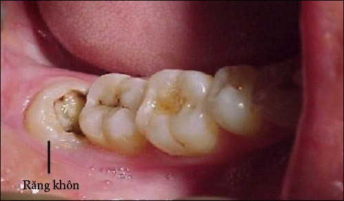
Răng khôn thường xuất hiện ở tuổi trưởng thành muộn hoặc ở độ tuổi trưởng thành sớm. Có thể vì thế mà được gọi là răng khôn. Tuy nhiên, khi răng này mọc lại hay đem tới những điều phiền toái từ nhẹ đến nghiêm trọng.
06/04/2018
Thời gian gần đây, trên một số trang mạng xã hội có rao bán giấy khám sức khỏe với chữ ký bác sĩ và con dấu của Bệnh viện E mà không cần đến khám. Trước thực trạng này, đại diện Bệnh viện E đã khẳng định: Những tờ giấy khám sức khỏe được bán bên ngoài, mang con dấu của Bệnh viện E là hoàn toàn giả mạo từ con dấu đến chữ ký của các bác sĩ...
06/04/2018
Hệ thống xạ trị gia tốc giúp điều trị chính xác các khối u di động như u phổi, gan, tiền liệt tuyến..., giảm liều tia xạ tới cơ thể bệnh nhân và bảo vệ các mô lành quanh khối u.
05/04/2018
Việc thành lập Trung tâm Máu quốc gia sẽ đáp ứng nhu cầu phát triển của ngành truyền máu Việt Nam và theo kịp xu hướng phát triển của thế giới.
05/04/2018
Sở Y tế Hà Nội yêu cầu các bệnh viện (BV) trực thuộc thực hiện khảo sát sự hài lòng của người bệnh ít nhất 3 tháng/lần và chọn mẫu nghiêm túc, bảo đảm tính ngẫu nhiên, khách quan, khoa học.
03/04/2018
Trẻ tự kỷ có thể bắt đầu xuất hiện những biểu hiện ngay từ những năm tháng đầu đời. Việc phát hiện trẻ bị tự kỷ để có phương pháp can thiệp sớm có ý nghĩa rất quan trọng trong việc phát triển tối đa khả năng của trẻ.
03/04/2018
Con trai tôi 9 tuổi. Cách đây 3 năm bị liệt nửa mặt do viêm dây thần kinh số 7 đã chữa lành.
03/04/2018
Tập thể dục nhẹ nhàng là phương pháp rất tốt giúp người phụ nữ có sức khỏe và sinh con dễ hơn.
03/04/2018
Chế độ ăn hợp lý giúp tránh tai biến nặng hơn, nhanh hồi phục và giảm bớt sự tiến triển bệnh.
02/04/2018
Nếu như trước đây mạng xã hội từng rộ lên trào lưu "12 ngày nhịn ăn để thanh lọc cơ thể" thì nay dư luận lại xôn xao với thông tin 49 ngày nhịn ăn của "vua cà phê" Đặng Lê Nguyên Vũ. Sự thật của phương pháp này là gì và liệu nó có mang lại lợi ích cho sức khỏe?
02/04/2018
Cục Quản lý dược vừa ra văn bản yêu cầu đình chỉ lưu hành, thu hồi trên toàn quốc 2 lô mỹ phẩm do Công ty CP mỹ phẩm Phi Thanh Vân, địa chỉ trên hồ sơ ở phường 11, quận 6, TP.HCM sản xuất.
01/04/2018
Muốn giảm cân nhiều người đã dùng phương pháp nhịn ăn "đoạt tuyệt" với ăn uống trong nhiều ngày liền. Chỉ nhịn ăn để giảm béo sẽ có nguy cơ như thế nào với sức khỏe?
01/04/2018
Phóng viên tại Seoul dẫn kết quả cuộc điều tra do một nhóm nghiên cứu của Bệnh viện Saint Mary ở thủ đô Seoul cho biết người béo phì dễ mắc bệnh đái tháo đường (còn gọi là tiểu đường) hơn những người bình thường.
01/04/2018
Thông tin cảnh báo từ Cục Y tế dự phòng: thói quen ăn quá nhiều muối là yếu tố nguy cơ chính gây tăng huyết áp, dẫn đến tai biến mạch máu não, bệnh mạch vành, nhồi máu cơ tim và nhiều bệnh tim mạch khác.
30/03/2018
Hiện nay, thị trường thuốc giải độc gan, bổ gan… rất phong phú và đa dạng, có thể được sản xuất dưới dạng thuốc hay thực phẩm chức năng và được nhiều đơn vị trong nước (lớn - bé) và nước ngoài sản xuất.
30/03/2018
Theo dinh dưỡng học cổ truyền, mía vị ngọt, tính lạnh, vào được hai kinh vị và phế, có công dụng thanh nhiệt trừ phiền, sinh tân nhuận táo, hòa trung hạ khí, lợi tiểu giải rượu, tiêu trừ mệt mỏi, trợ giúp tiêu hóa, thường được dùng để chữa các chứng trạng bệnh lý như môi khô miệng khát, tân dịch bất túc (bệnh lý sốt cao gây mất nước), tiểu tiện bất lợi, đại tiện táo kết, phản vị ẩu thổ (chứng nôn mửa, ăn vào thì bụng đầy trướng...
30/03/2018
Táo bón là chứng bệnh hay gặp ở mọi lứa tuổi, nếu để kéo dài có thể dẫn đến bệnh trĩ, đau đầu, chóng mặt, mất ngủ, nổi mụn nhọt thậm chí có thể tắc ruột…
29/03/2018
Thông tin từ Bộ Y tế ngày 27/3, cho biết, để tiếp tục duy trì thành tựu và kết quả công tác tiêm chủng mở rộng (TCMR), năm 2018, Bộ Y tế có kế hoạch đưa một số vắc-xin mới vào Chương trình TCMR, đồng thời Bộ Y tế cũng khẳng định vắc-xin Quinvaxem vẫn tiếp tục được sử dụng trong Chương trình TCMR cùng với việc chuyển đổi sử dụng loại vắc-xin phối hợp 5 trong 1.
28/03/2018
Trong năm 2018, Bộ Y tế sẽ đưa một số vaccine mới vào chương trình tiêm chủng mở rộng (TCMR) trên toàn quốc.
27/03/2018
Theo nghiên cứu mới đây của các nhà khoa học Phần Lan, việc duy trì bữa ăn đều đặn giúp kiểm soát cân nặng hiệu quả hơn so với cách thức ăn kiêng thông thường mà trên thực tế có thể khiến vòng eo lớn hơn và gây rối loạn tâm lý.
27/03/2018
Cục Quản lý Dược (Bộ Y tế) thông báo đình chỉ lưu hành, thu hồi 3 sản phẩm mỹ phẩm của thương hiệu nổi tiếng Dior đang lưu hành trên thị trường Việt Nam.
26/03/2018
1 ... 44 45 46 47 48 49 50 ...
E - MAGAGINE
Về đầu trang
Thông báo...