Thế nào là tổn thương xương bánh chè hai mảnh?
Tổn thương xương bánh chè hai mảnh xuất hiện khi điểm cốt hóa phụ của xương bánh chè không liền với xương bánh chè chính, gặp ở giai đoạn phát triển xương tuổi thiếu niên. Tỷ lệ gặp tổn thương này khoảng 2% và 50% các trường hợp bệnh nhân bị cả hai bên. Đa số các trường hợp bệnh nhân không có biểu hiện lâm sàng mà chỉ tình cờ phát hiện qua chụp phim thường quy khớp gối. Một số trường hợp, có thể biểu hiện đau do vận động quá mức của khớp gối như chơi thể thao, … hoặc cũng có thể do chấn thương.
Biểu hiện tổn thương
Triệu chứng đau do xương bánh chè hai mảnh thường xuất hiện theo 1 trong 2 cách: tiến triển từ từ hoặc là đột ngột sau chấn thương. Đau thường khu trú ở cực trên ngoài của bánh chè tương ứng với vị trí của mảnh xương phụ, đau thường tăng lên khi vận động và ảnh hưởng đến vận động thường kèm theo sưng nền quanh vị trí xương phụ. Tràn dịch gối rất hiếm gặp, nếu có thường phải loại trừ các tổn thương trong khớp kèm theo. Ở những bệnh nhân có triệu chứng kéo dài, tình trạng teo cơ đùi thường xảy ra và kèm theo là hạn chế duỗi gối chủ động. Một số tác giả cho rằng, triệu chứng đau do ảnh hưởng của lực kéo quá mức từ cơ rộng ngoài lên mảnh xương phụ, từ đó đề xuất phương pháp phẫu thuật chỉ giải phóng vị trí bám của gân cơ rộng ngoài lên mảnh xương phụ đơn thuần mà không cần lấy bỏ.
Chẩn đoán và điều trị
Chụp X quang thường quy khớp gối thẳng nghiêng là chưa đủ để chẩn đoán xác định cũng như phân biệt các loại của tổn thương này. Tư thế chụp có giá trị là chụp khớp bánh chè lồi cầu nhưng thường khó thực hiện do bệnh nhân đau nên khó gấp gối. Ngoài ra có thể chụp phim cắt lớp vi tính hoặc cộng hưởng từ. Chụp cộng hưởng từ có giá trị vì ngoài việc chẩn đoán xác định tổn thương còn loại trừ các tổn thương trong khớp khác khi có tràn dịch khớp gối kèm theo.
Phẫu thuật nội soi là xu hướng mới xử trí tổn thương lấy bỏ xương bánh chè phụ với ưu thế can thiệp tối thiểu giúp bệnh nhân sớm phục hồi.
Lời khuyên của bác sĩ
Tổn thương xương bánh chè hai mảnh khá hiếm gặp. Việc chẩn đoán khó khăn khi không nghĩ đến. Vì vậy, khi có biểu hiện sưng đau hạn chế vận động khớp gối kèm các biểu hiện nghi ngờ có dịch khớp cần đến cơ sở y tế chuyên khoa xương khớp để được khám và đánh giá đúng mức tổn thương.
Một trường hợp đặc biệt
Bệnh nhân Ngô Thị Thật (59 tuổi, ở Chương Mỹ, Hà Nội) vào viện do bị đau, mất vận động khớp gối đau nhiều vào buổi sáng khi ngủ dậy khiến việc đi lại, sinh hoạt gặp nhiều khó khăn. Chị đã đi khám nhiều nơi và được điều trị tại địa phương bằng thuốc nam nhưng không đỡ, càng ngày cơn đau càng nhiều hơn đến khám khoa Chấn thương chỉnh hình bệnh viện đa khoa Hà Đông.
Tại đây, các bác sĩ thăm khám lâm sàng có biểu hiện tràn dịch khớp gối mức độ vừa, biên độ vận động gối bình thường, không có mất vững gối, không có triệu chứng lâm sàng của tổn thương sụn chêm. Chụp phim Xquang thấy có tổn thương mất liên tục của xương bánh chè phía trên ngoài, siêu âm có tràn dịch khớp gối. Chẩn đoán sơ bộ bệnh lý xương bánh chè hai mảnh hai gối vì không có yếu tố chấn thương. được chụp phim cộng hưởng từ đánh giá các dây chằng, sụn chêm và sụn khớp đều thấy bình thường. Tổn thương cực trên của hai gối nghĩ đến thương tổn xương bánh chè hai mảnh.

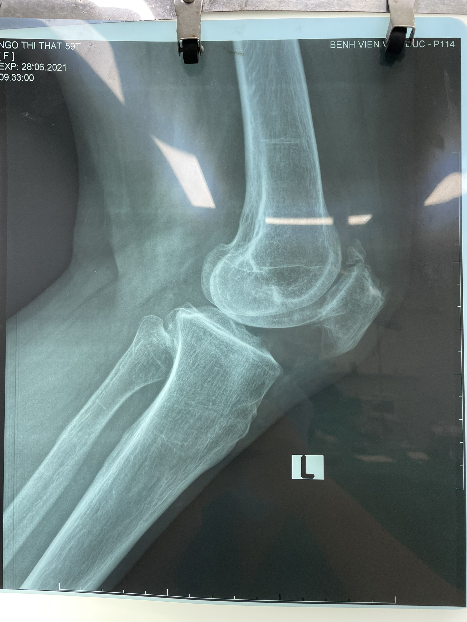
Hình ảnh x-quang 2 khớp gối trước mổ


Hình ảnh x-quang 2 khớp gối sau mổ

Hình ảnh Sau phẫu thuật gối 2 bên của bệnh nhân T 59 tuổi
Th.S BS Nguyễn Trọng Nghĩa cho biết: BS Phẫu thuật nội soi khớp gối là kỹ thuật hiện đại đang được áp dụng tại các bệnh viện đa khoa Hà Đông. Đây là kỹ thuật ít xâm lấn (ít gây tổn thương thêm cho người bệnh), trong và sau mổ người bệnh ít đau đớn, giảm nguy cơ nhiễm trùng, rút ngắn thời gian nằm viện, giảm chi phí điều trị, nhanh chóng phục hồi và trở lại cuộc sống, sinh hoạt bình thường. Đặc biệt với kỹ thuật này vết nội nhỏ khoảng 3cm nhanh liền seo, còn kỹ thuật nội soi truyền thông vết nội soi dài 15 đến 20 cm và lâu liền sẹo).
Sau 4 ngày sau phẫu thuật, bệnh nhân đã hết đau, đã bắt đầu tập đi. Dự kiến, sau 2 tuần bệnh nhân có thể tự đi mà không cần đến dụng cụ hỗ trợ
Bình luận bài viết