Hà Nội
Thứ 3, 20/01/2026
Nhiều mây
24°C

Herbalife lên tiếng sau cái chết của cô gái 24 tuổi, nhà khoa học nói gì?

21/05/2019 12:49
3:12
HOANHAP.VN - Nạn nhân ​là một phụ nữ Ấn Độ 24 tuổi, được cho là đã tử vong do suy gan cấp tính sau 2 tháng sử dụng 3 sản phẩm giảm cân của Herbalife. Herbalife lên tiếng về sự đảm bảo an toàn của sản phẩm, nhưng các nhà khoa học vẫn nghi vấn về kết quả này. Bộ Y tế có cần phải lên tiếng?

Vừa qua, Hoanhap.vn đăng bài viết "Nghi vấn uống Herbalife, cô gái 24 tuổi tử vong vì suy gan cấp tính!" được đăng tải trên Ấn bản tháng 3-4/2019 của Tạp chí Gan lâm sàng và Thực nghiệm (JOURNAL OFCLINICALANDEXPERIMENTAL HEPATOLOGY) mới đây đăng tải bài viết “Giảm béo đến chết: Herbalife - Suy gan cấp tính gây tử vong - Kim loại nặng, hợp chất độc hại, chất gây ô nhiễm, vi khuẩn và tác nhân hướng thần trong các sản phẩm được bán ở Ấn Độ”.

Nạn nhân là phụ nữ 24 tuổi ở Ấn Độ, sử dụng 3 sản phẩm giảm cân của Herbalife trong bộ “Herbalife-slimming products”, bao gồm: Formula 1 Shake Mix, Personalized Protein Powder và Afresh Energy Drink.

Theo bài báo này, trường hợp bị suy gan cấp tính là cô gái 24 tuổi ở Ấn Độ, đã uống 03 sản phẩm Herbalife trong khoảng thời gian 02 tháng. Cô sử dụng hàng ngày, bao gồm thức uống Herbalife Formula 1 Nutritional Shake Mix; Herbalife Personalized Protein Powder; và Afresh Energy Drink. Cô gái đã uống bộ 03 sản phẩm này theo hướng dẫn 2 lần mỗi ngày.

Sau khi uống sản phẩm Herbalife, cô gái giảm dần cảm giác thèm ăn trong một tuần, sau đó là vàng da và biểu hiện ngứa thoáng qua. Cô gái được lấy máu làm xét nghiệm và phân tích tại thời điểm này. 12 ngày sau, vàng da trở nên tồi tệ hơn và cô được đưa đến cấp cứu trong tình trạng não gan (hôn mê gan) độ 3. Kết quả sinh thiết gan cho thấy, cô gái bị viêm gan liên sườn, viêm đường mật, bong bóng cấp độ nặng, nhiễm mỡ và ứ mật trong gan. Cô gái nhanh chóng được chuyển đến cấp cứu ở một trung tâm cấy ghép, nhưng tử vong ngay sau đó.

Đang liên hệ với tác giả nghiên cứu để làm rõ vụ việc

Liên quan đến vấn đề này, đăng tải trên Zing, đại diện Herbalife Nutrition cho rằng những thông tin trong bài viết "Slimming to the Death" (tạm dịch: Giảm cân tới chết) đăng trên tạp chí khoa học chuyên ngành về gan - Journal of Clinical and Experimental Hepatology - có nhiều chi tiết không chính xác và sai lệch, nên đang liên hệ với tác giả để điều chỉnh. Tuy nhiên, đại diện công ty không nêu rõ các chi tiết này là gì.

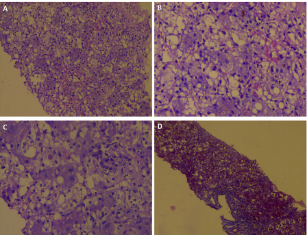
Sinh thiết gan cho thấy (A) kiến trúc gan bị biến dạng với nhiễm mỡ nặng với thoái hóa bóng, hỗn hợp lymphocytic và bạch cầu trung tính; (B)  giao diện viên gan cùng với ứ mật nội sọ; (C) viêm đường mật (haematoxylin và eosin stain, 20) và (D) hoại tử cầu nối màng ngoài tim (Masson trichrom stain, 20)

Nhóm nghiên cứu phát hiện Rất nhiều kim loại nặng được tìm thấy, và độc tố không được Herbalife công bố trong các sản phẩm của mình


Về việc các sản phẩm đều nhiễm kim loại nặng, đại diện này cho hay Herbalife Dinh dưỡng đầu tư hơn 300 triệu USD vào việc quản lý nguồn gốc thành phần sản phẩm. Tất cả cơ sở sản xuất đều đáp ứng tiêu chuẩn của quy trình sản xuất tốt và các phòng thí nghiệm đẳng cấp quốc tế đạt được chứng nhận cao nhất (ISO 17025).

Đối với 3 sản phẩm giảm cân Formula 1 Shake Mix, Personalized Protein Powder và Afresh Energy Drink, được cho là nguyên nhân gây ra cái chết của nữ bệnh nhân 24 tuổi ở Ấn Độ, Herbalife cho biết đã yêu cầu một phòng thí nghiệm độc lập ở nước này chứng nhận kiểm nghiệm 3 sản phẩm trên. Kết quả kiểm nghiệm ngày 10/5 xác nhận cả 3 sản phẩm này an toàn và tuân thủ tất cả quy định về an toàn thực phẩm của Ấn Độ.


Giấy kiểm nghiệm chứng nhận an toàn của 3 sản phẩm được đề cập tới. Ảnh: Công ty cung cấp.


Qua tìm hiểu được biết, FICCI là một tổ chức phi chính phủ, phi lợi nhuận tại Ấn Độ.

"Tự đưa sản phẩm đi kiểm nghiệm và công bố an toàn không thuyết phục"

TS Nguyễn Hồng Vũ trao đổi với Zing, để đăng một công trình nghiên cứu khoa học trên tạp chí chuyên ngành quốc tế, các nội dung của bài viết phải qua hàng loạt các phản biện, phê bình, xem xét của hội đồng nhà khoa học có kinh nghiệm trong cùng chuyên ngành.

"Việc này có thể kéo dài vài tháng đến hơn cả năm, thậm chí bị từ chối đăng khi các số liệu, lập luận trong bài chưa đủ thuyết phục, không chính xác hoặc có dấu hiệu gian dối. Do vậy, thông tin trên các tạp chí quốc tế này thường đáng tin cậy, được các nhà khoa học trên thế giới dùng để tham khảo, từ đó phát triển tiếp", ông Vũ nhấn mạnh.

Journal of Clinical and Experimental Hepatology (JCEH) là tạp chí quốc tế đạt tiêu chuẩn và có thể tra cứu được trên thư viện Pubmed nổi tiếng, nơi lưu những công trình nghiên cứu khoa học quốc tế do trung tâm quốc gia về thông tin công nghệ sinh học (National Center for Biotechnology Information - NCBI), thuộc thư viện Quốc Gia Mỹ về Y Học (U.S. National Library of Medicine - NLM), nằm trong hệ thống Viện Quốc Gia về Sức Khỏe (National Institutes of Health - NIH).

Tạp chí JCEH được giới thiệu trên website chính thức của Nhà xuất bản ấn phẩm khoa học lớn nhất thế giới Elsevier (trụ sở tại Hà Lan), nơi sở hữu hơn 2.500 tạp chí khoa học đa lĩnh vực với nội dung được thẩm định bởi các chuyên gia đầu ngành.

Nhà xuất bản này là nơi giới thiệu các bài báo chuyên ngành của JCEH đến các bác sĩ chuyên khoa tiêu hóa, phẫu thuật ghép gan và những chuyên gia quốc tế hoạt động trong lĩnh vực liên quan. Ngoài những bài báo khoa học về kết quả nghiên cứu những bệnh về gan, tạp chí JCEH đăng nhiều bài viết có giá trị giáo dục về sức khoẻ cho người đọc, đặc biệt là sinh viên ngành y. Nhà xuất bản Elsevier

"Dựa trên hai chữ Ấn Độ để đánh giá nghiên cứu trên không đáng tin cậy là không đúng. Hơn nữa, nếu những thông tin từ các bài báo khoa học có sức ảnh hưởng mạnh trên quốc tế mà sai, một công ty lớn như Herbalife sẽ phản đối, kiện và yêu cầu rút bài báo ra khỏi hệ thống ngay lập tức", chuyên gia này nêu quan điểm.

Ông Vũ thông tin thêm không chỉ một bài báo từ Ấn Độ gần đây nhắc đến Herbalife trên tựa đề mà trước đó ít nhất 7 nghiên cứu khác trên thế giới (Israel, Thụy Sĩ, Argentina, Mỹ, Iceland, Tây Ban Nha) từ năm 2000 đến 2015 cũng ghi nhận 53 trường hợp bị suy gan liên quan việc sử dụng sản phẩm của Herbalife. Tất cả bài báo trên đều có thể tìm thấy trên thư viện Pubmed.

Về việc Herbalife cho biết đã yêu cầu một phòng thí nghiệm độc lập ở Ấn Độ chứng nhận kiểm nghiệm 3 sản phẩm được cho liên quan cái chết của cô gái 24 tuổi, TS Vũ đánh giá chỉ giúp chứng minh được sản phẩm công ty đưa cho phòng thí nghiệm đảm bảo, chứ không có nghĩa lô hàng mà cô gái Ấn Độ xấu số đã mua, sử dụng và các nhà khoa học thu thập là sạch.

Ngoài ra, không rõ phòng thí nghiệm trên có thuộc cơ quan chức trách của chính phủ hay không. Các giấy tờ “tự kiểm nghiệm sản phẩm” của cơ sở sản xuất chỉ có ý nghĩa tham khảo cho người tiêu dùng, chứ không có giá trị cam kết của Cơ quan Quản lý Thuốc và Thực phẩm Mỹ (FDA) chứng minh sản phẩm an toàn khi ra thị trường.

TS Nguyễn Hồng Vũ khuyến cáo người dân cần lưu ý khi tham khảo các thông tin về thành phần trong sản phẩm thực phẩm chức năng trên Internet nên tìm kiếm ở các website của chính phủ, các trang không liên quan đến thương mại (noncommercial sites) như Viện Y tế quốc gia Mỹ (NIH-National Institutes of Health), Cơ quan Quản lý Thuốc và Thực phẩm của Mỹ (FDA), Bộ Nông nghiệp Mỹ (USDA- United States Department of Agriculture).

Đặc biệt, người dân cần thận trọng khi tiếp nhận thông tin từ người bán vì họ có thể nói quá hoặc sai lệch thông tin của sản phẩm bằng các lời quảng cáo như “tốt hơn thuốc”, “bảo đảm an toàn tuyệt đối” hoặc “hoàn toàn không có phản ứng phụ”.

“100% thiên nhiên không có nghĩa là 100% an toàn. Vì vậy, nếu muốn sử dụng thực phẩm chức năng bạn nên hỏi chuyên gia về sức khỏe hoặc bác sĩ điều trị để đảm bảo an toàn cho bản thân", TS Vũ tư vấn.

Bộ Y tế cần lên tiếng?

Trong các bài báo khoa học, nhóm tác giả cũng khuyến cáo người tiêu dùng, trong đó có Việt Nam, cẩn trọng khi sử dụng sản phẩm của Herbalife. Bởi theo công bố trong sản phẩm của Herbalife có nhiều thành phần là kim loại nặng và có cả độc tố không có lợi cho sức khỏe.

Trong một diễn biến có liên quan, hãng thực phẩm Herbalife có ký thỏa thuận hợp tác 5 năm (từ 2017-2021) giữa Herbalife với VOC (Ủy ban Olympic Việt Nam) và VPC (Hiệp hội Paralympic Việt Nam), khẳng định Herbalife là nhà tài trợ dinh dưỡng chính thức cho HLV, VĐV thể thao Việt Nam tiêu biểu tham gia tại các giải đấu lớn như SEA Games, ASIAD, Olympic cùng các giải đấu dành cho người khuyết tật cấp khu vực, châu lục và thế giới.

Nhằm sáng tỏ những thông tin các sản phẩm của Herbalife tại thị trường Việt Nam được giám sát chặt chẽ về chất lượng, thành phần trong sản phẩm đảm bảo cho sức của người dân, cũng như tốt cho các vận động viên của Việt Nam. Bộ Y tế cũng cần lên tiếng về việc này.

Hòa Nhập sẽ tiếp tục thông tin!

Tin liên quan
Từ khoá:

Bình luận bài viết

avatar
Login
Chưa có bình luận nào. Hãy là người đầu tiên bình luận!
Về đầu trang
Thông báo...