Hà Nội
Thứ 5, 19/03/2026
Nhiều mây
24°C

Dấu hiệu nhận biết sớm bệnh ung thư phổi Facebook

04/09/2016 12:30
3:12
Ho dai dẳng; Đau ngực, đặc biệt là khi hít thở sâu; Thở khò khè hoặc khó thở; Ho có đờm hoặc máu; Mệt mỏi.... là những triệu chứng lặng lẽ nhưng báo hiệu căn bệnh tử thần ung thư phổi.
Nguyên nhân gây ung thư phổi

Trong lịch sử, y văn thế giới đã ghi nhận bệnh ung thư phổi rất ít khi xảy ra cho đến khi thuốc lá xuất hiện. Đây là nguyên nhân hàng đầu gây ung thư phổi. Cứ 10 người ung thư phổi thì có tới 9 trường hợp liên quan đến thuốc lá, do hút thuốc chủ động hoặc bị động (hít phải khói thuốc lá).

Ngoài ra còn một số nguyên nhân có thể gây ung thư phổi là do ô nhiễm môi trường, hóa chất, hoặc do hít phải khí radon. Khí radon là loại khí sinh ra từ sự phân rã phóng xạ urani. Loại khí này có ở hầu khắp mọi nơi trong lớp vỏ trái đất, nó thoát ra ngoài qua các vết rạn và lỗ trống rất nhỏ trên mặt đất và khuyếch tán vào không khí. Khí radon không thể nhìn thấy bằng mắt thường nhưng có thể xác định được bằng máy đo chuyên dụng.



Phổi hoạt động như thế nào

Phổi ở người bao gồm nhiều sợi lông mao nhỏ, những sợi lông này bảo vệ phổi quét sạch các độc tố, vi khuẩn từ bên ngoài vào đường hô hấp. Khi hút thuốc, khói thuốc lá làm các lông mao bị vô hiệu hóa chức năng của mình, các hóa chất trong thuốc lá xâm nhập vào phổi và gây bệnh.

Các triệu chứng của ung thư phổi

Những dấu hiệu đầu tiên của bệnh ung thư phổi bắt đầu lặng lẽ, thường là không có triệu chứng hoặc dấu hiệu cảnh báo trong giai đoạn đầu. Khi bệnh trở nên nặng hơn, các triệu chứng có thể xuất hiện bao gồm:
- Ho dai dẳng.
- Đau ngực, đặc biệt là khi hít thở sâu.
- Thở khò khè hoặc khó thở.
- Ho có đờm hoặc máu.
- Mệt mỏi.

Sàng lọc ung thư phổi

Ung thư phổi có thể được phát hiện sớm bằng chụp CT. Ở Mỹ, có một số đối tượng được khuyên đi sàng lọc ung thư phổi như những người hút thuốc hay có người thân nghiện thuốc, sống trong môi trường ô nhiễm, những người từ 55 đến 80 tuổi được khuyến cáo đi sàng lọc ung thư phổi. Nếu bệnh nhân có tiền sử hút thuốc lá nên định kỳ đi kiểm tra sức khỏe phổi. Ở những người trẻ nếu dừng hút thuốc trong vòng 15 năm có thể ngừng khám sàng lọc ung thư phổi.

Chẩn đoán ung thư phổi

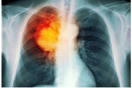
Trong hầu hết các trường hợp, khi bác sĩ nghi ngờ bệnh nhân mắc ung thư phổi với các triệu chứng điển hình như ho mãn tính hoặc thở khò khè, lúc đó, bác sĩ sẽ cho người bệnh đi chụp X-quang hoặc các xét nghiệm hình ảnh khác. Bệnh nhân cũng có thể được yêu cầu xét nghiệm đờm. Nếu một trong các xét nghiệm cho thấy xuất hiện dấu hiệu của ung thư, bước tiếp theo bác sĩ sẽ tiến hành sinh thiết phổi.

Các loại ung thư phổi

Có hai loại chính của ung thư phổi là ung thư phổi tế bào nhỏ và ung thư phổi không phải tế bào nhỏ. Ung thư phổi tế bào nhỏ là loại ung thư phát triển nhanh, nó có thể lây lan nhanh đến các bộ phận khác của cơ thể. Loại ung thư này thường xuất hiện ở người sử dụng thuốc lá và hiếm thấy ở người không hút thuốc. Ung thư phổi không phải tế bào nhỏ phát triển chậm hơn và phổ biến hơn, đây là loại ung thư ít xâm lấn hơn loại trên. Trong các bệnh ung thư phổi có đến 85% những người ung thư phổi thuộc loại ung thư không tế bào nhỏ. Loại ung thư này nếu phát hiện sớm, phẫu thuật, xạ trị hay hóa trị có thể chữa khỏi căn bệnh này.

Các giai đoạn ung thư phổi

Mỗi loại ung thư phổi có cách xâm lấn khác nhau trong cơ thể. Như ung thư phổi tế bào nhỏ được chia thành hai giai đoạn: Giai đoạn giới hạn có nghĩa là ung thư được giới hạn trong một phổi và các hạch bạch huyết có thể ở gần vị trí khối u. Giai đoạn ung thư lan rộng có nghĩa là ung thư đã lan rộng khắp phổi hoặc ra các bộ phận khác. Ung thư phổi không phải tế bào nhỏ được chia thành từ 1 đến 4 giai đoạn, tùy thuộc vào việc khối u lan rộng đến đâu.

Tuổi thọ của bệnh nhân ung thư phổi đang ngày càng tăng lên

Với sự phát triển của khoa học kỹ thuật cũng như công nghệ y dược học, thời gian sống của bệnh nhân ung thư phổi đang được kéo dài hơn so với trước. Thống kê mới nhất của Viện Ung thư Quốc gia của Mỹ cho thấy từ năm 2004 đến năm 2010, những người được chẩn đoán ung thư phổi sống sau 5 năm tăng từ 4% lên 54%, tùy thuộc vào giai đoạn của bệnh.

Các cách điều trị ung thư phổi

Nếu bệnh nhân mắc ung thư phổi không phải tế bào nhỏ được phát hiện trước khi nó lan sang các bộ phận khác của cơ thể hoặc mới chỉ xuất hiện ở một bên phổi, phẫu thuật là biện pháp tốt nhất. Các bác sĩ phẫu thuật có thể loại bỏ phần có khối u. Một số bệnh nhân được xạ trị hoặc hóa trị sau phẫu thuật để diệt các tế bào ung thư còn lại. Đối với bệnh ung thư phổi tế bào nhỏ phẫu thuật dường như không có giá trị vì tại thời điểm chẩn đoán, ung thư có thể đã lan sang các cơ quan khác của cơ thể.

Khi ung thư phổi di căn

Khi ung thư phổi đã di căn các bác sĩ vẫn có thể chữa trị để giúp bệnh nhân kéo dài cuộc sống và có chất lượng cuộc sống tốt hơn. Bức xạ hoặc hóa trị liệu có thể thu nhỏ khối u và điều trị các triệu chứng, như đau xương hoặc khó thở. Hóa trị biện pháp duy nhất và thường xuyên được áp dụng ở các bệnh nhân bị bệnh ung thư phổi tế bào nhỏ.

Điều trị bằng phương pháp nhắm mục tiêu

Phương pháp điều trị nhắm mục tiêu là một phương thức điều trị mới của ung thư phổi, nó có thể được sử dụng cùng với hóa trị liệu hoặc khi các phương pháp điều trị khác không hiệu quả. Phương pháp nhắm mục tiêu là nhằm chặn các mạch máu tới nuôi dưỡng tế bào ung thư ở khối u. Nó có thể giúp bệnh nhân ung thư phổi sống lâu hơn. Phương pháp điều trị nhắm mục tiêu có thể làm gián đoạn các tín hiệu chịu trách nhiệm nhân lên trong tế bào ung thư trong hình ảnh ở trên.
Tin liên quan
Từ khoá:

Bình luận bài viết

avatar
Login
Chưa có bình luận nào. Hãy là người đầu tiên bình luận!
Về đầu trang
Thông báo...